UNO Orthodontics - Dokter Gigi Spesialis, Behel, dan Aligner Gading Serpong Tangerang
Home Reviews Blog Gallery Contact +62 851-7673-8445

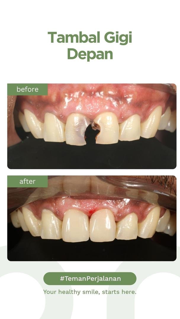
Welcome to our gallery

See how our company transforms ideas into reality. This gallery is a visual testament to our work and achievements.

Privacy Policy Regulations